当一个出生仅5天的宝宝面临健康危机,一场与时间赛跑的守护战就此展开。近日,宝鸡市妇幼保健院(儿童医院)医学影像科与重症新生儿科医护人员紧密协作,成功为一名高危新生儿完成颅脑磁共振检查,用专业与爱心为小生命点亮了希望之光。
两天前,一名出生仅5天的新生儿因出现异常症状,被紧急转入市儿童医院重症新生儿科。宝宝生命体征不稳定,情况危急,接诊医生通过初步检查,高度怀疑宝宝存在颅内出血可能。这一情况让所有人的心都揪了起来——新生儿颅内出血进展迅速,若不及时明确诊断并干预,可能会留下严重后遗症,甚至危及生命。
为了快速、准确地了解宝宝脑部的具体情况,重症新生儿科医生立即申请了颅脑磁共振(MRI)检查。医学影像科接到通知后,深知情况紧急,立刻为这位特殊的小患者开通了绿色通道。新生儿尤其是早产儿的磁共振检查,被誉为医学影像学中的“精细活”。宝宝无法配合检查,体重极轻,对环境温度、噪音等都极为敏感,任何微小的失误都可能带来风险。
新生儿科医护人员也全程陪伴,她们温柔地为宝宝包裹襁褓,模拟子宫环境,轻声哼着摇篮曲进行安抚。两个科室默契配合,像对待自己的孩子一样,小心翼翼地将宝宝移至检查床上,固定体位。影像医生迅速行动,将检查室环境调节至最适合新生儿的“舒适区”,同时准备好专用的新生儿线圈和柔软的固定垫,确保检查过程中宝宝的安全与舒适。整个操作间内鸦雀无声,所有人的目光都聚焦在监控屏幕上。医生们全神贯注地控制着设备参数,密切关注着宝宝的情况。凭借着千锤百炼的技术和稳定的心态,影像医生用最短时间完成了所有序列的扫描,成功获取了清晰、准确的图像。

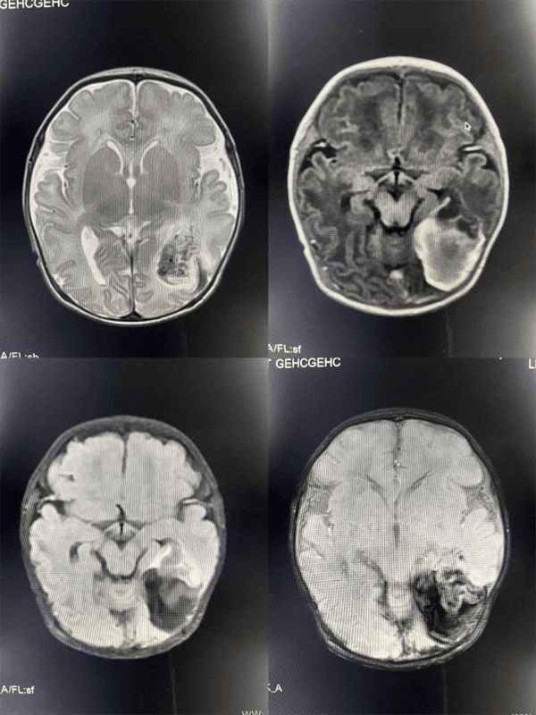
检查结果很快出来了:影像清晰地显示,宝宝左侧部分颞叶、枕叶存在亚急性脑出血,并且血肿已经破入双侧侧脑室。同时,MRA检查还发现了右侧大脑前动脉的发育异常。这份精准的影像报告,就像一张清晰的“大脑地图”,让临床医生对宝宝的病情一目了然,使得治疗更加“有的放矢”。

从精准操作到温情守护,每个细节都彰显着医护人员对生命的敬畏与担当。此次新生儿颅脑磁共振检查的顺利完成,既是影像学技术能力的体现,也是以患者为中心的生动写照。在市妇幼保健院儿童医院、妇产医院等各个院区,这样的守护每天都在发生。
信息来源:医学影像科
原文作者:宋彬
责编初审:王建锋
主编复审:左曙东
领导终审:王向东